福山市のインビザライン【調整料込55万円〜】301症例・完成率98.3% | おきとう歯科クリニック
当院のインビザライン治療の特徴
調整料込みの明確な料金体系(55万円〜88万円)
iTero 3Dスキャナーで治療後の姿を10分でシミュレーション
2021年〜2026年(2026年4月4日時点)で301症例 - 完了率98.3%(中断わずか5名=1.7%)
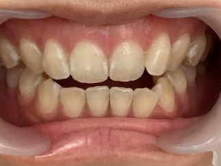
「笑う角度が、すこしだけ変わった」 287名の患者様が実感した、新しい自信
治療が終わる頃には、不安も緊張もすべて消えていました。
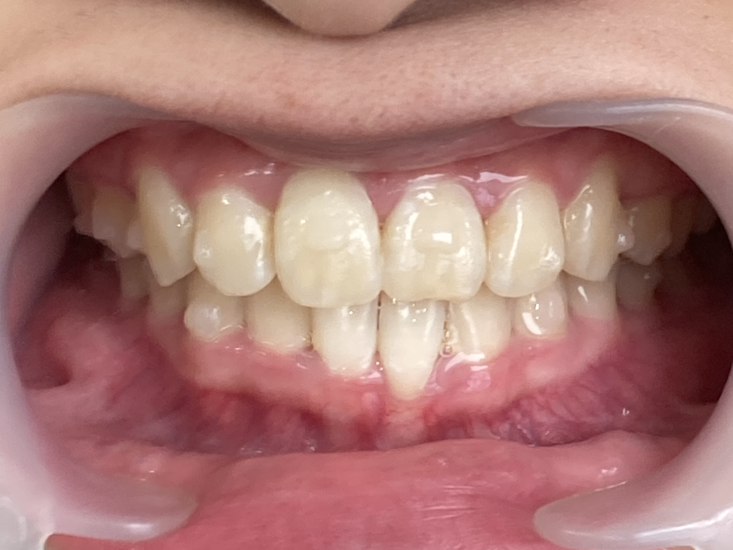
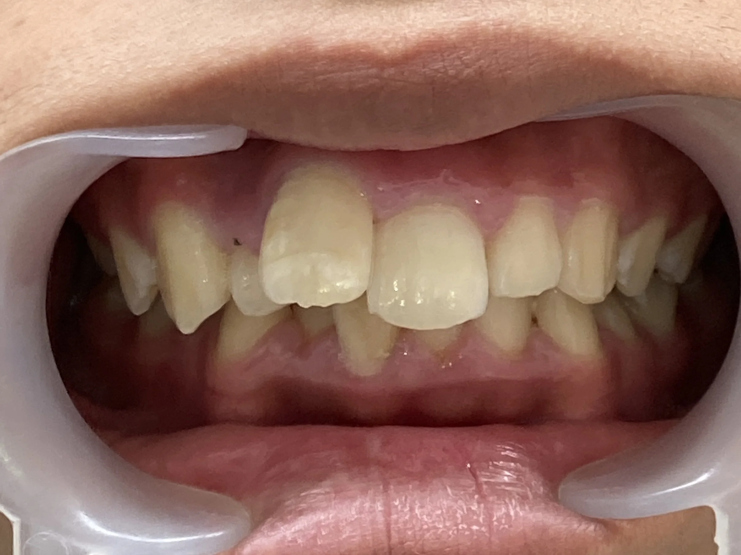
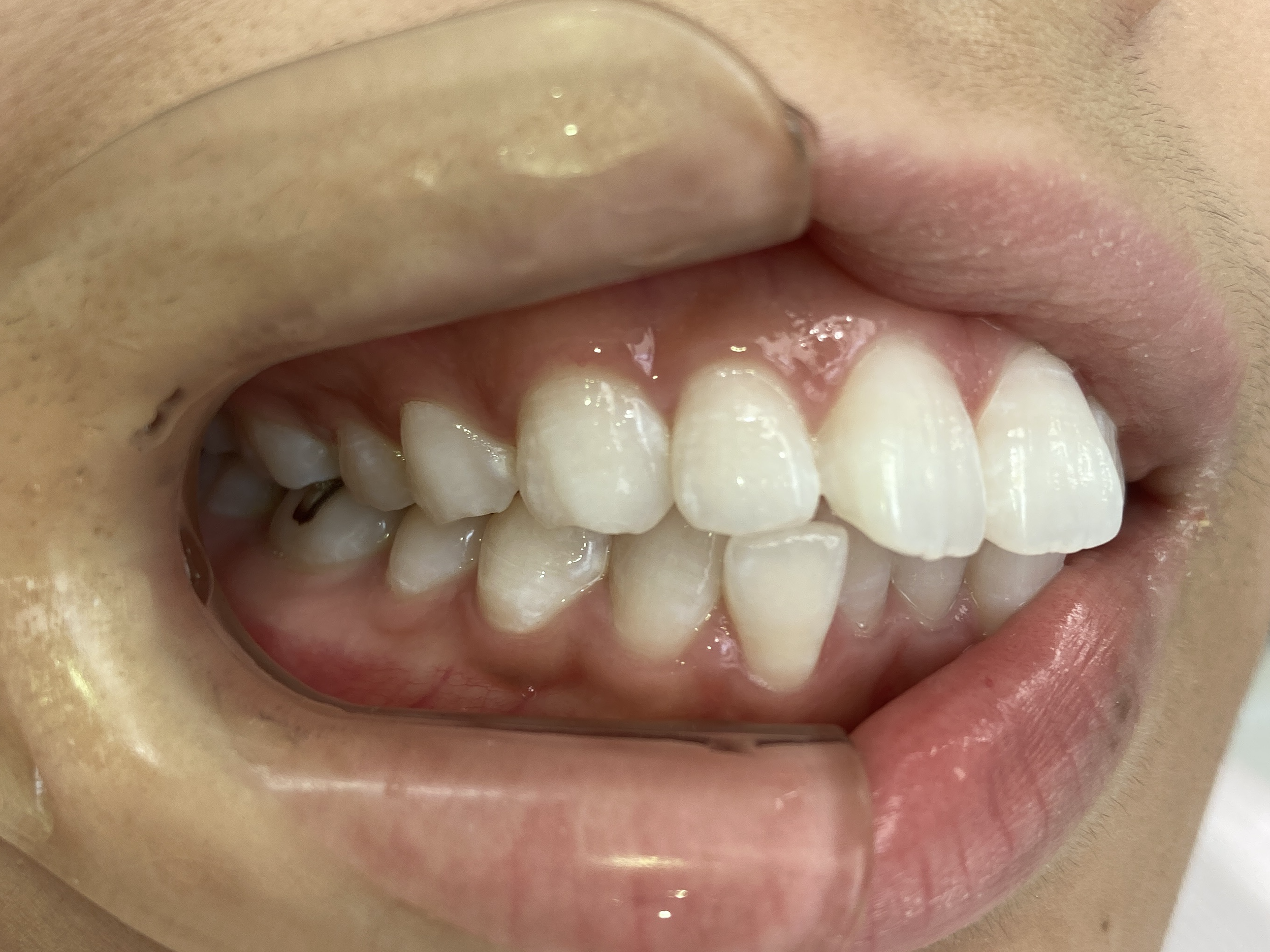
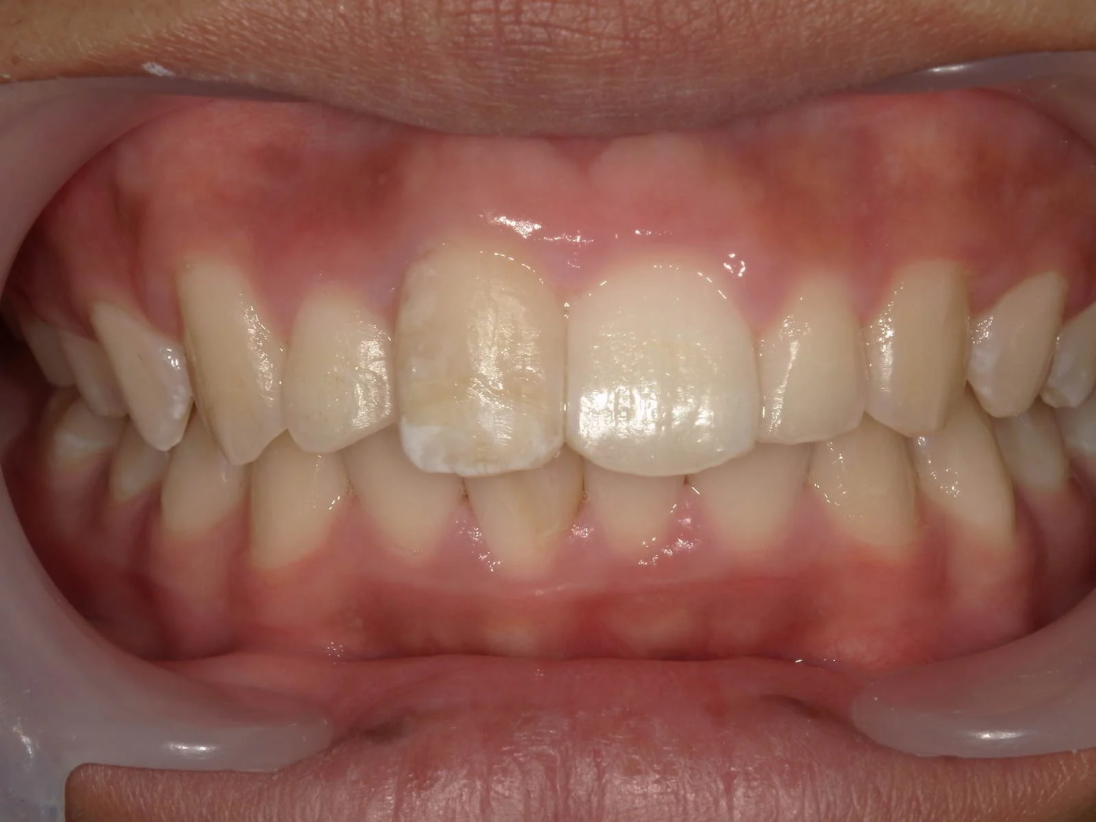
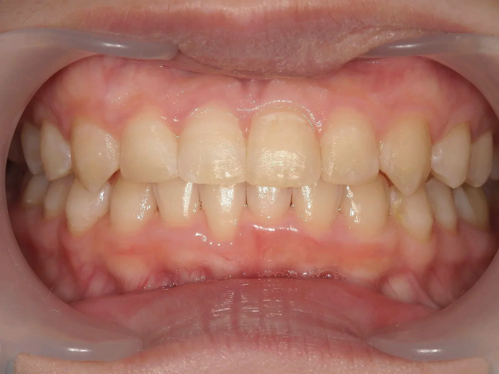
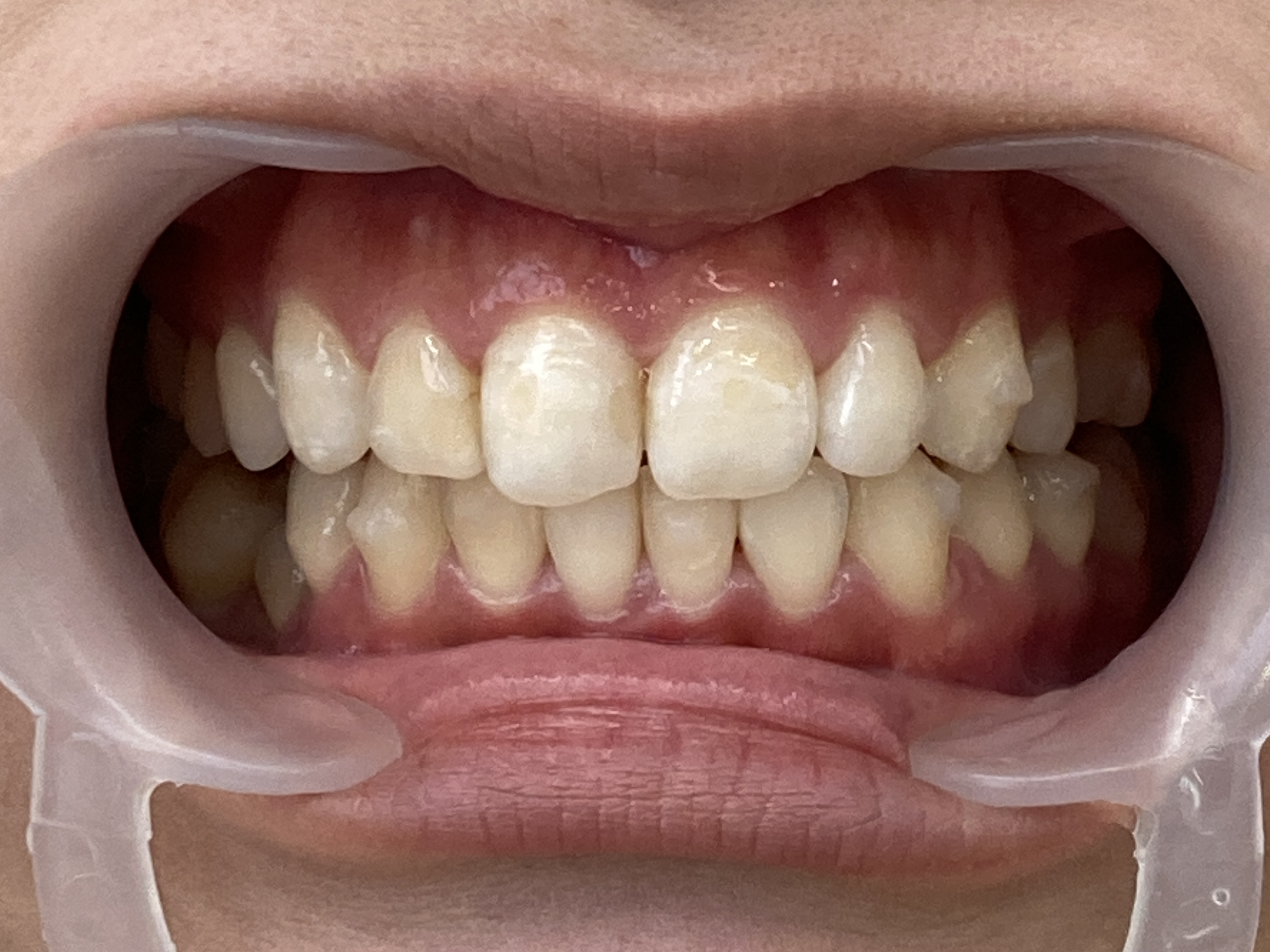
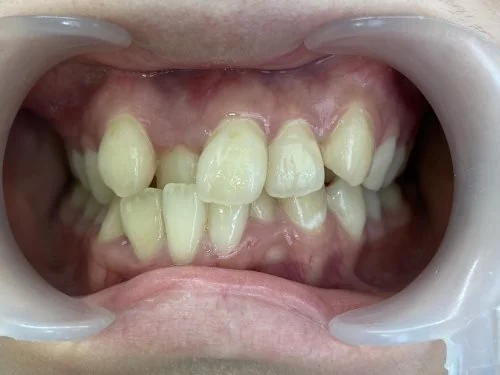
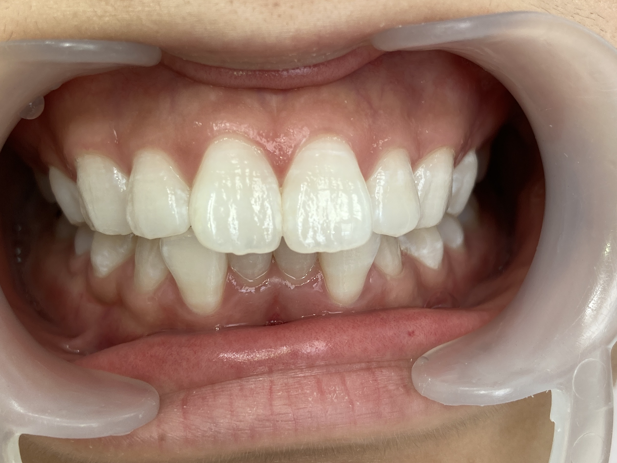
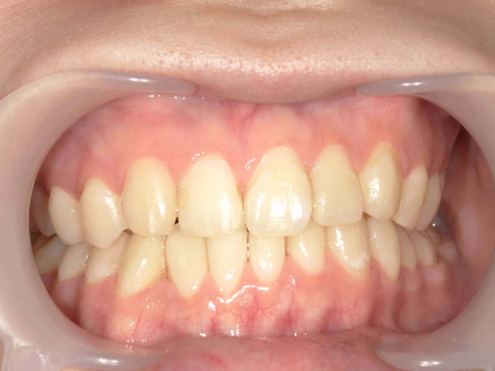
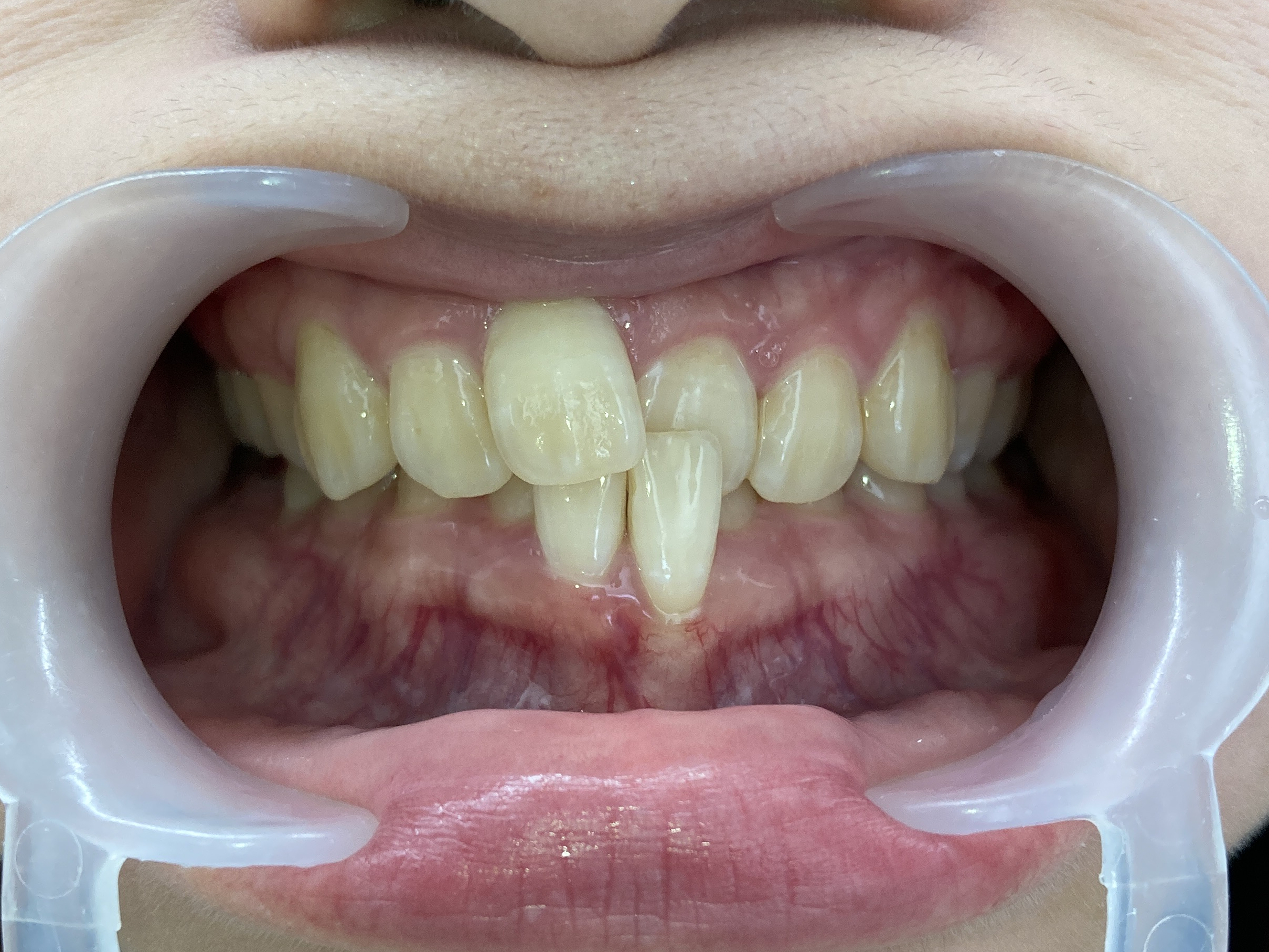
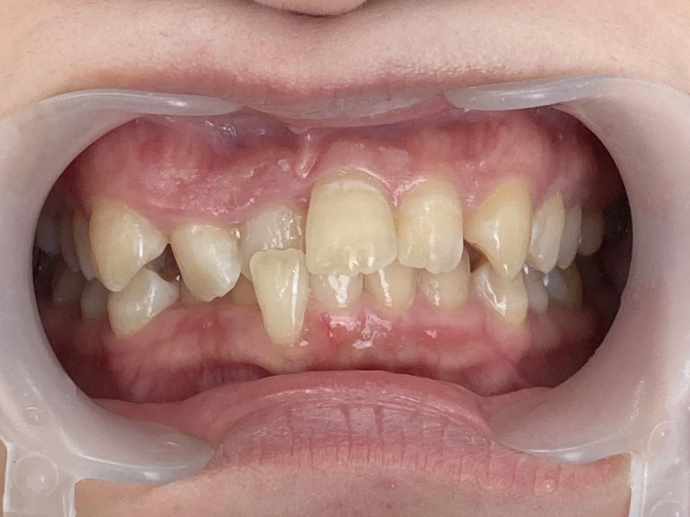
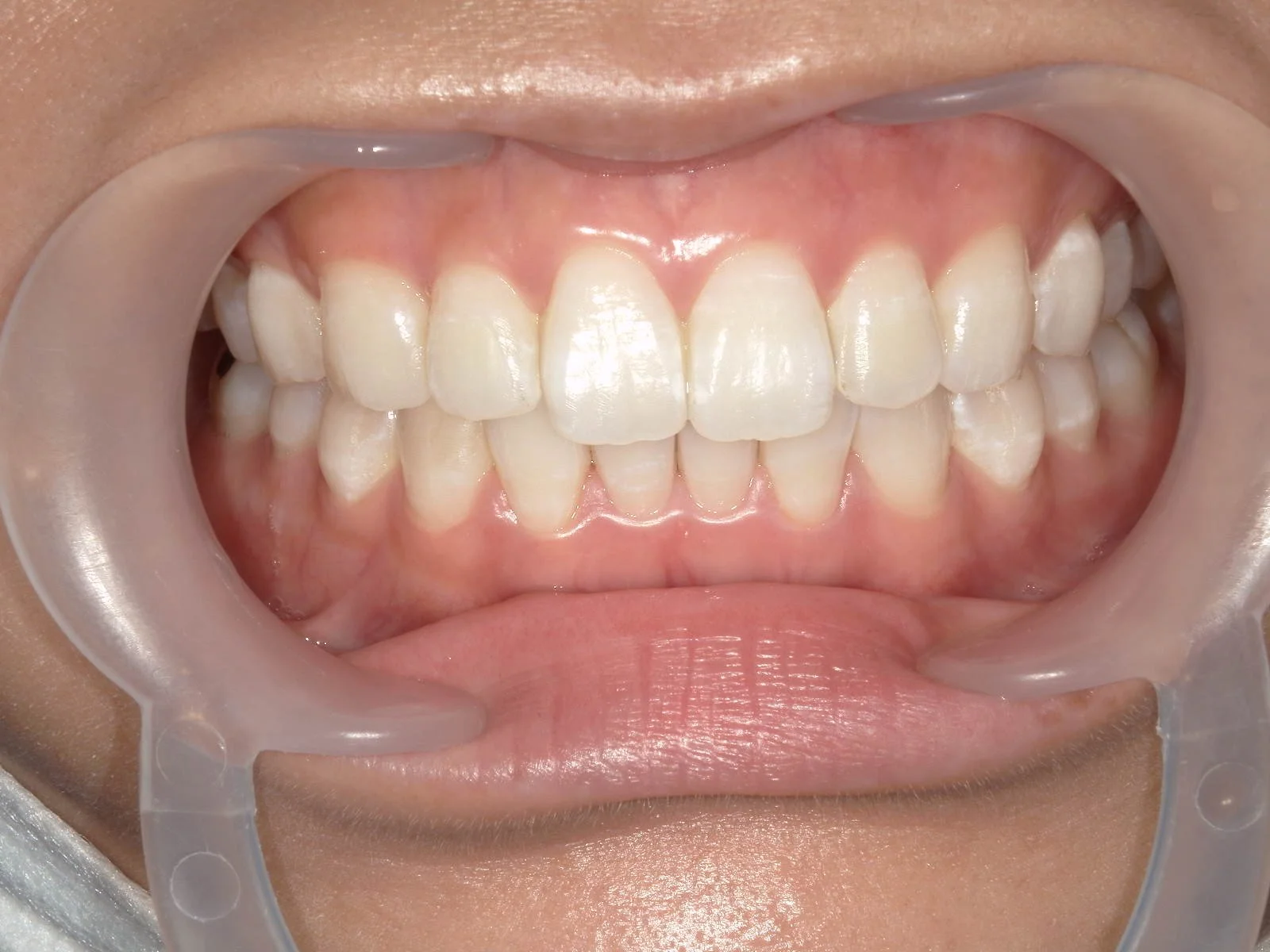
【症例情報】 27歳 女性
治療内容:マウスピース型矯正装置(インビザライン)
治療期間:1年6ヶ月 | 通院:約15回 費用:88万円(税込・総額、調整料込)
【リスク・副作用】 装着時の痛み・違和感、1日20時間以上の装着必須、知覚過敏、 歯肉退縮、発音障害(一時的)等が生じる場合があります。 ※治療結果には個人差があります。
【未承認医療機器】 インビザラインは薬機法未承認です。米国アライン・テクノロジー社製品を インビザライン・ジャパン株式会社経由で入手。1998年FDA認証取得、 世界100カ国以上、1,500万人超の治療実績(2023年1月時点)。
「自分の明日を、他人の今日で確かめる。」10分で“もしも”が目で見える
iTero(アイテロ)は、従来の不快な型取りを必要とせず、高精度なデジタル印象を撮影する最先端の3D口腔内スキャナーです。
先進的な3Dシミュレーション技術により、治療開始前にあなたの笑顔がどのように変化するかを正確に視覚化でき、治療後の仕上がりをその場で確認できます。
スキャンプロセスは迅速で快適、即座に結果が得られるため、インビザライン治療があなたに適しているかどうかを判断するのに役立ちます。
世界1,500万人以上が選んだ透明マウスピース矯正
「インビザライン」
米国アライン・テクノロジー社が開発した最先端の3D技術により、 あなただけの理想の歯並びを、誰にも気づかれずに実現します。
