揃うだけじゃない。あなたの顔に、やさしい余白を。
迷いは持ったままで、進む。
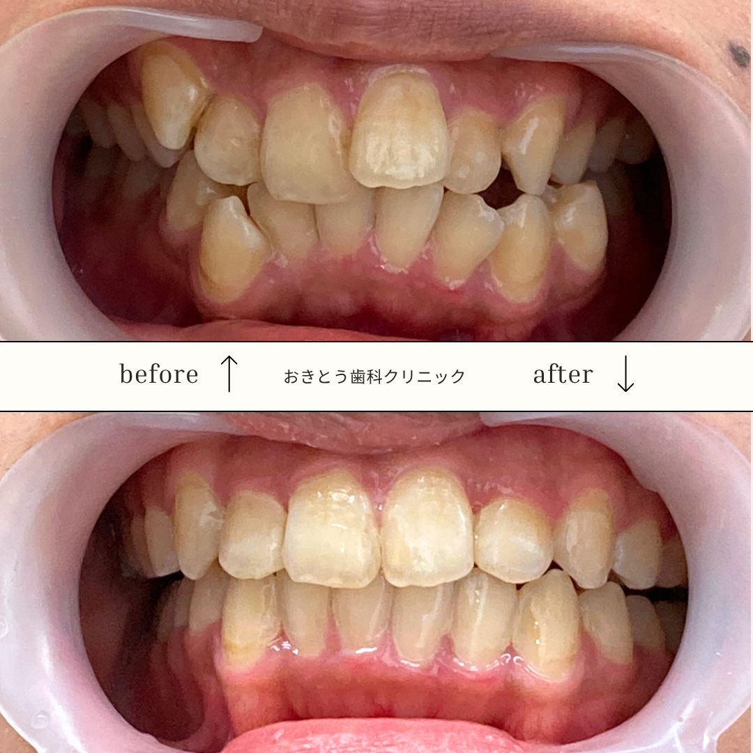
【症例情報】 23歳 女性
(患者さまの背景)働き出したら矯正を始めようと決めておられました。ワイヤー矯正とマウスピース矯正で迷われていましたが、ご相談の上、マウスピース矯正(インビザライン)を選択されました。
治療内容:マウスピース型矯正装置(インビザライン)
治療期間:8ヶ月 | 通院:12回
費用:88万円(税込・総額、調整料込)
【リスク・副作用】 装着時の痛み・違和感、1日20時間以上の装着必須、知覚過敏、 歯肉退縮、発音障害(一時的)等が生じる場合があります。 ※治療結果には個人差があります。
【未承認医療機器】 インビザラインは薬機法未承認です。米国アライン・テクノロジー社製品を インビザライン・ジャパン株式会社経由で入手。1998年FDA認証取得、 世界100カ国以上、1,500万人超の治療実績(2023年1月時点)。
【症例情報】 51歳 男性
(患者さまの背景)上の前歯の突出と下の前歯のズレを長年気にされていましたが、「55万円で解決できるなら安い」と治療を決意されました。
治療内容:マウスピース型矯正装置(インビザライン)
治療期間:4ヶ月 | 通院:7回 費用:55万円(税込・総額、調整料込)
【リスク・副作用】 装着時の痛み・違和感、1日20時間以上の装着必須、知覚過敏、 歯肉退縮、発音障害(一時的)等が生じる場合があります。 ※治療結果には個人差があります。
【未承認医療機器】 インビザラインは薬機法未承認です。米国アライン・テクノロジー社製品を インビザライン・ジャパン株式会社経由で入手。1998年FDA認証取得、 世界100カ国以上、1,500万人超の治療実績(2023年1月時点)。
【症例情報】 30歳 女性
(患者さまの背景) 当院のインビザライン患者さまからのご紹介で来院されました。「下の歯の前歯と上の歯の右側が見た目的に悩み」とのことでシミュレーションを実施。金額面で悩まれていましたが、インビザラインGOであれば可能ということで、当院で矯正治療をスタートすることになりました。
治療内容: マウスピース型矯正装置(インビザライン)
治療期間: 5ヶ月
通院: 5回
費用: 55万円(税込・総額、調整料込)
【リスク・副作用】
装着時の痛み・違和感、1日20時間以上の装着必須、知覚過敏、 歯肉退縮、発音障害(一時的)等が生じる場合があります。 ※治療結果には個人差があります。
【未承認医療機器】
インビザラインは薬機法未承認です。米国アライン・テクノロジー社製品を インビザライン・ジャパン株式会社経由で入手。1998年FDA認証取得、 世界100カ国以上、1,500万人超の治療実績(2023年1月時点)。
【症例情報】 38歳 女性
(患者さまの背景) 「上下の前歯が気になっている」とのことで来院されました。シミュレーションをご覧になった結果、「ぜひしてみたい」とのことで、当院で矯正治療をスタートすることになりました。
治療内容: マウスピース型矯正装置(インビザライン)
治療期間: 4ヶ月
通院: 6回
費用: 55万円(税込・総額、調整料込)
【リスク・副作用】
装着時の痛み・違和感、1日20時間以上の装着必須、知覚過敏、 歯肉退縮、発音障害(一時的)等が生じる場合があります。 ※治療結果には個人差があります。
【未承認医療機器】
インビザラインは薬機法未承認です。米国アライン・テクノロジー社製品を インビザライン・ジャパン株式会社経由で入手。1998年FDA認証取得、 世界100カ国以上、1,500万人超の治療実績(2023年1月時点)。
【症例情報】 22歳 女性
(患者さまの背景) 「上の前歯のがたつきが気になる」ということで来院されました。「今年から社会人になられるので、その前に歯並びを整えておきたい」とのご希望があり、当院で矯正治療をスタートすることになりました。
治療内容: マウスピース型矯正装置(インビザライン)
治療期間: 2ヶ月半
通院: 11回
費用: 55万円(税込・総額、調整料込)
【リスク・副作用】
装着時の痛み・違和感、1日20時間以上の装着必須、知覚過敏、 歯肉退縮、発音障害(一時的)等が生じる場合があります。 ※治療結果には個人差があります。
【未承認医療機器】
インビザラインは薬機法未承認です。米国アライン・テクノロジー社製品を インビザライン・ジャパン株式会社経由で入手。1998年FDA認証取得、 世界100カ国以上、1,500万人超の治療実績(2023年1月時点)。
【症例情報】 34歳 女性
(患者さまの背景) 「全体的な歯並びがお悩み」とのことで来院されました。他の歯科医院も検討されていましたが、シミュレーションを受けられ、当院では治療途中の追加費用がかからない点にご納得いただき、当院で矯正治療をスタートすることを決断されました。
治療内容: マウスピース型矯正装置(インビザライン)
治療期間: 8ヶ月
通院: 16回
費用: 88万円(税込・総額、調整料込)
【リスク・副作用】
装着時の痛み・違和感、1日20時間以上の装着必須、知覚過敏、 歯肉退縮、発音障害(一時的)等が生じる場合があります。 ※治療結果には個人差があります。
【未承認医療機器】
インビザラインは薬機法未承認です。米国アライン・テクノロジー社製品を インビザライン・ジャパン株式会社経由で入手。1998年FDA認証取得、 世界100カ国以上、1,500万人超の治療実績(2023年1月時点)。
【症例情報】 23歳 女性
(患者さまの背景) ワイヤー矯正と悩まれていましたが、「金属アレルギーがあるので出来ればマウスピース矯正をしたい」とのご希望でした。シミュレーションをご覧になり、価格や仕上がりのイメージにもご納得いただき、当院で矯正治療をスタートすることになりました。
治療内容: マウスピース型矯正装置(インビザライン)
治療期間: 4ヶ月
通院: 11回
費用: 55万円(税込・総額、調整料込)
【リスク・副作用】
装着時の痛み・違和感、1日20時間以上の装着必須、知覚過敏、 歯肉退縮、発音障害(一時的)等が生じる場合があります。 ※治療結果には個人差があります。
【未承認医療機器】
インビザラインは薬機法未承認です。米国アライン・テクノロジー社製品を インビザライン・ジャパン株式会社経由で入手。1998年FDA認証取得、 世界100カ国以上、1,500万人超の治療実績(2023年1月時点)。
【症例情報】 36歳 女性
(患者さまの背景)上の前歯が出ていること、また、下の歯が1本引っ込んで生えていることを気にされていました。
治療内容:マウスピース型矯正装置(インビザライン)
治療期間:4ヶ月 | 通院:6回
費用:55万(税込・総額、調整料込)
【リスク・副作用】 装着時の痛み・違和感、1日20時間以上の装着必須、知覚過敏、 歯肉退縮、発音障害(一時的)等が生じる場合があります。
※治療結果には個人差があります。
【未承認医療機器】 インビザラインは薬機法未承認です。米国アライン・テクノロジー社製品を インビザライン・ジャパン株式会社経由で入手。1998年FDA認証取得、 世界100カ国以上、1,500万人超の治療実績(2023年1月時点)。
【症例情報】 26歳 女性
(患者さまの背景)上の前歯が気になっていたものの、ご自身の症例がマウスピース矯正(インビザライン)の適応となるのかが気になり、ご来院されました。
治療内容:マウスピース型矯正装置(インビザライン)
治療期間:6ヶ月 | 通院:10回
費用:88万(税込・総額、調整料込)
【リスク・副作用】 装着時の痛み・違和感、1日20時間以上の装着必須、知覚過敏、 歯肉退縮、発音障害(一時的)等が生じる場合があります。
※治療結果には個人差があります。
【未承認医療機器】 インビザラインは薬機法未承認です。米国アライン・テクノロジー社製品を インビザライン・ジャパン株式会社経由で入手。1998年FDA認証取得、 世界100カ国以上、1,500万人超の治療実績(2023年1月時点)。
【症例情報】 20歳 男性
(患者さまの背景) 「歯並びが気になる」とのことで来院されました。「大学生の間になおしておきたい」というご希望があり、当院で矯正治療をスタートすることになりました。
治療内容: マウスピース型矯正装置(インビザライン)
治療期間: 5ヶ月
通院: 8回
費用: 88万円(税込・総額、調整料込)
【リスク・副作用】
装着時の痛み・違和感、1日20時間以上の装着必須、知覚過敏、 歯肉退縮、発音障害(一時的)等が生じる場合があります。 ※治療結果には個人差があります。
【未承認医療機器】
インビザラインは薬機法未承認です。米国アライン・テクノロジー社製品を インビザライン・ジャパン株式会社経由で入手。1998年FDA認証取得、 世界100カ国以上、1,500万人超の治療実績(2023年1月時点)。
【症例情報】 18歳 男性
(患者さまの背景)お母さまが当院の患者さまで、息子さまの歯並びを治してあげたいとのことで、今回無料シミュレーションから実施されました。
治療内容:マウスピース型矯正装置(インビザライン)
治療期間:4ヶ月半 | 通院:7回
費用:55万(税込・総額、調整料込)
【リスク・副作用】 装着時の痛み・違和感、1日20時間以上の装着必須、知覚過敏、 歯肉退縮、発音障害(一時的)等が生じる場合があります。
※治療結果には個人差があります。
【未承認医療機器】 インビザラインは薬機法未承認です。米国アライン・テクノロジー社製品を インビザライン・ジャパン株式会社経由で入手。1998年FDA認証取得、 世界100カ国以上、1,500万人超の治療実績(2023年1月時点)。
【症例情報】 26歳 女性
(患者さまの背景) 「歯並びが気になる」とのことで来院されました。シミュレーションの結果、インビザラインのタイプについて金銭面も踏まえて悩まれましたが、最終的にインビザラインGOで当院の矯正治療をスタートすることになりました。
治療内容: マウスピース型矯正装置(インビザライン)
治療期間: 4ヶ月半
通院: 8回
費用: 55万円(税込・総額、調整料込)
【リスク・副作用】
装着時の痛み・違和感、1日20時間以上の装着必須、知覚過敏、 歯肉退縮、発音障害(一時的)等が生じる場合があります。 ※治療結果には個人差があります。
【未承認医療機器】
インビザラインは薬機法未承認です。米国アライン・テクノロジー社製品を インビザライン・ジャパン株式会社経由で入手。1998年FDA認証取得、 世界100カ国以上、1,500万人超の治療実績(2023年1月時点)。
【症例情報】 39歳 女性
(患者さまの背景)上下ともに歯が重なり合っている歯並びがお悩みでした。2年前に他院で「抜かないと出来ない」と言われ、「出来れば歯を抜きたくない」というご希望をお持ちでした。最近、別の歯科医院でも無料診断で抜歯が必要と言われたため、他の医院(当院)を探すことにしたとのことです。
治療内容:マウスピース型矯正装置(インビザライン)
治療期間:5ヶ月 | 通院:9回
費用:55万(税込・総額、調整料込)
【リスク・副作用】 装着時の痛み・違和感、1日20時間以上の装着必須、知覚過敏、 歯肉退縮、発音障害(一時的)等が生じる場合があります。
※治療結果には個人差があります。
【未承認医療機器】 インビザラインは薬機法未承認です。米国アライン・テクノロジー社製品を インビザライン・ジャパン株式会社経由で入手。1998年FDA認証取得、 世界100カ国以上、1,500万人超の治療実績(2023年1月時点)。
【症例情報】 23歳 女性
(患者さまの背景) 「全体的に歯並びが気になる」とのことで、当院のインビザライン患者さまからのご紹介で来院されました。シミュレーションをご覧になった結果、当院で矯正治療をスタートすることになりました。
治療内容: マウスピース型矯正装置(インビザライン)
治療期間: 8ヶ月
通院: 12回
費用: 88万円(税込・総額、調整料込)
【リスク・副作用】
装着時の痛み・違和感、1日20時間以上の装着必須、知覚過敏、 歯肉退縮、発音障害(一時的)等が生じる場合があります。 ※治療結果には個人差があります。
【未承認医療機器】
インビザラインは薬機法未承認です。米国アライン・テクノロジー社製品を インビザライン・ジャパン株式会社経由で入手。1998年FDA認証取得、 世界100カ国以上、1,500万人超の治療実績(2023年1月時点)。
【症例情報】 39歳 女性
(患者さまの背景)上の前歯が斜めになっている点や、歯の長さを気にされており、今回治療を決断されました。
治療内容:マウスピース型矯正装置(インビザライン)
治療期間:4ヶ月 | 通院:7回
費用:55万(税込・総額、調整料込)
【リスク・副作用】 装着時の痛み・違和感、1日20時間以上の装着必須、知覚過敏、 歯肉退縮、発音障害(一時的)等が生じる場合があります。
※治療結果には個人差があります。
【未承認医療機器】 インビザラインは薬機法未承認です。米国アライン・テクノロジー社製品を インビザライン・ジャパン株式会社経由で入手。1998年FDA認証取得、 世界100カ国以上、1,500万人超の治療実績(2023年1月時点)。
【症例情報】 38歳 女性
(患者さまの背景)メンテナンスでご来院されていましたが、当院からインビザラインをご紹介しました。以前から上の前歯のねじれを気にされており、矯正治療にもご興味があったとのことです。治療期間を短くしたいというご希望があり、その点を踏まえ、若干の歯並びのズレが残る可能性をご了承いただいた上で治療計画を立て、治療を開始されました。
治療内容:マウスピース型矯正装置(インビザライン)
治療期間:5ヶ月 | 通院:9回
費用:55万(税込・総額、調整料込)
【リスク・副作用】 装着時の痛み・違和感、1日20時間以上の装着必須、知覚過敏、 歯肉退縮、発音障害(一時的)等が生じる場合があります。 ※治療結果には個人差があります。
【未承認医療機器】 インビザラインは薬機法未承認です。米国アライン・テクノロジー社製品を インビザライン・ジャパン株式会社経由で入手。1998年FDA認証取得、 世界100カ国以上、1,500万人超の治療実績(2023年1月時点)。
【症例情報】 24歳 女性
(患者さまの背景)上下の歯並びのズレが気になるとのことでした。
治療内容:マウスピース型矯正装置(インビザライン)
治療期間:3ヶ月 | 通院:5回
費用:55万(税込・総額、調整料込)
【リスク・副作用】 装着時の痛み・違和感、1日20時間以上の装着必須、知覚過敏、 歯肉退縮、発音障害(一時的)等が生じる場合があります。 ※治療結果には個人差があります。
【未承認医療機器】 インビザラインは薬機法未承認です。米国アライン・テクノロジー社製品を インビザライン・ジャパン株式会社経由で入手。1998年FDA認証取得、 世界100カ国以上、1,500万人超の治療実績(2023年1月時点)。
