「前歯が触れた日、暮らしが軽くなる。」
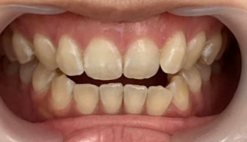
開咬は治っていますが、特に歯が伸びたようにもなってません。
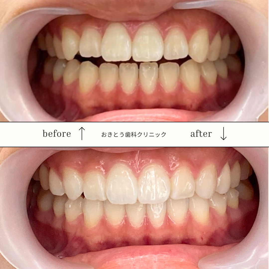
【症例情報】 36歳 女性 治療内容:マウスピース型矯正装置(インビザライン) 治療期間:1年 | 通院:約12回 費用:88万円(税込・総額、調整料込)
【リスク・副作用】 装着時の痛み・違和感、1日20時間以上の装着必須、知覚過敏、 歯肉退縮、発音障害(一時的)等が生じる場合があります。 ※治療結果には個人差があります。
【未承認医療機器】 インビザラインは薬機法未承認です。米国アライン・テクノロジー社製品を インビザライン・ジャパン株式会社経由で入手。1998年FDA認証取得、 世界100カ国以上、1,500万人超の治療実績(2023年1月時点)。
【症例情報】 26歳 男性
(患者さまの背景) 「前歯がかみ切れない」ということを主訴に来院されました。シミュレーションを実施し、かなり悩まれた結果、当院で矯正治療をスタートすることになりました。
治療内容: マウスピース型矯正装置(インビザライン)
治療期間: 5ヶ月
通院: 9回
費用: 88万円(税込・総額、調整料込)
【リスク・副作用】
装着時の痛み・違和感、1日20時間以上の装着必須、知覚過敏、 歯肉退縮、発音障害(一時的)等が生じる場合があります。 ※治療結果には個人差があります。
【未承認医療機器】
インビザラインは薬機法未承認です。米国アライン・テクノロジー社製品を インビザライン・ジャパン株式会社経由で入手。1998年FDA認証取得、 世界100カ国以上、1,500万人超の治療実績(2023年1月時点)。
【症例情報】 27歳 女性
(患者さまの背景) 「来年に結婚式が控えているのでそれまでに歯並びを綺麗にしたい」「上下の前歯を噛んだときの隙間をなくしたい」とのご希望で来院されました。シミュレーションを実施し、結果にご納得いただけたため、当院で矯正治療をスタートすることになりました。
治療内容: マウスピース型矯正装置(インビザライン)
治療期間: 4ヶ月
通院: 10回
費用: 55万円(税込・総額、調整料込)
【リスク・副作用】
装着時の痛み・違和感、1日20時間以上の装着必須、知覚過敏、 歯肉退縮、発音障害(一時的)等が生じる場合があります。 ※治療結果には個人差があります。
【未承認医療機器】
インビザラインは薬機法未承認です。米国アライン・テクノロジー社製品を インビザライン・ジャパン株式会社経由で入手。1998年FDA認証取得、 世界100カ国以上、1,500万人超の治療実績(2023年1月時点)。
