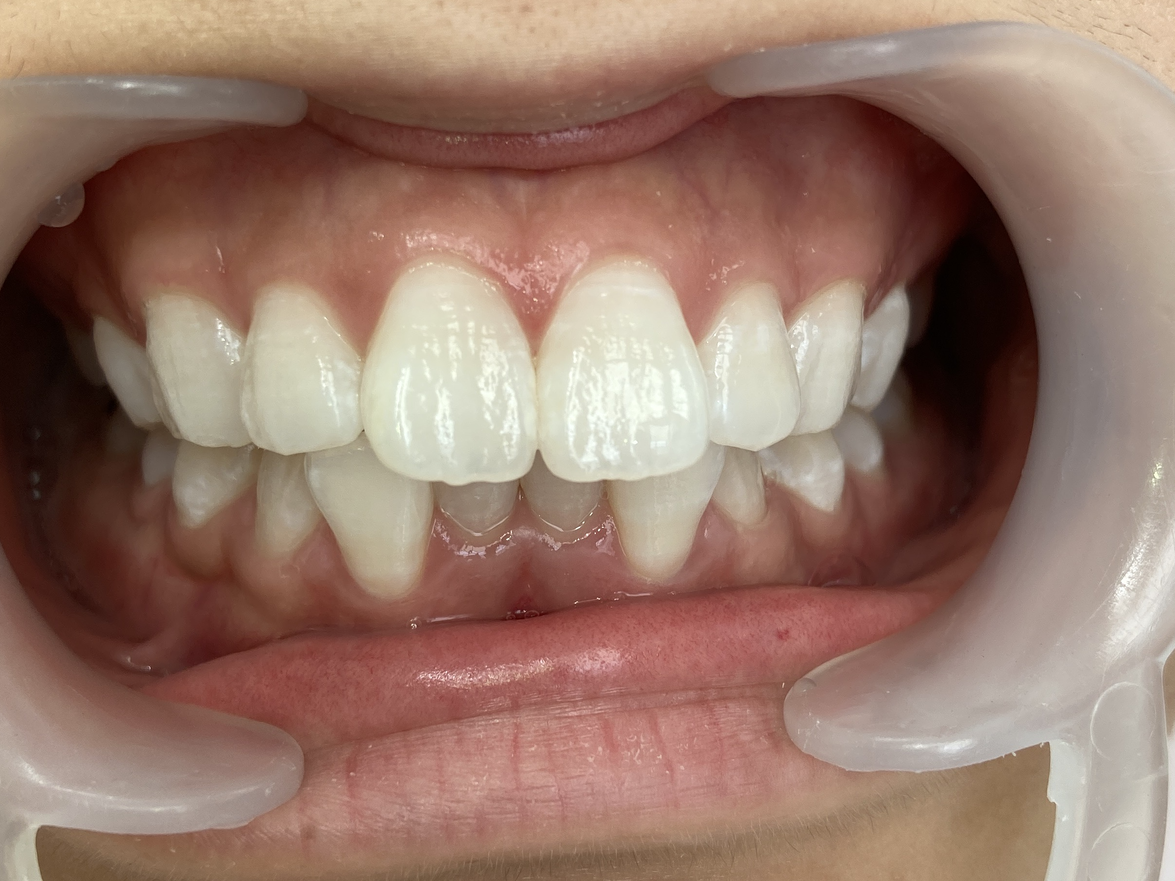
「前に出る前歯、重なる下の列。整えるだけで、顔が落ち着く」
【症例情報】 24歳 女性
治療内容:マウスピース型矯正装置(インビザライン)
治療期間:1年 | 通院:13回
費用:88万円(税込・総額、調整料込)
【リスク・副作用】 装着時の痛み・違和感、1日20時間以上の装着必須、知覚過敏、 歯肉退縮、発音障害(一時的)等が生じる場合があります。 ※治療結果には個人差があります。
【未承認医療機器】 インビザラインは薬機法未承認です。米国アライン・テクノロジー社製品を インビザライン・ジャパン株式会社経由で入手。1998年FDA認証取得、 世界100カ国以上、1,500万人超の治療実績(2023年1月時点)。
【症例情報】 28歳 女性
(患者さまの背景)ワイヤー矯正とマウスピース矯正で悩まれていましたが、周囲で矯正をしている人もおり、ご自身も歯並びが気になっていたとのことです。
治療内容:マウスピース型矯正装置(インビザライン)
治療期間:4ヶ月 | 通院:8回 費用:55万円(税込・総額、調整料込)
【リスク・副作用】 装着時の痛み・違和感、1日20時間以上の装着必須、知覚過敏、 歯肉退縮、発音障害(一時的)等が生じる場合があります。 ※治療結果には個人差があります。
【未承認医療機器】 インビザラインは薬機法未承認です。米国アライン・テクノロジー社製品を インビザライン・ジャパン株式会社経由で入手。1998年FDA認証取得、 世界100カ国以上、1,500万人超の治療実績(2023年1月時点)。
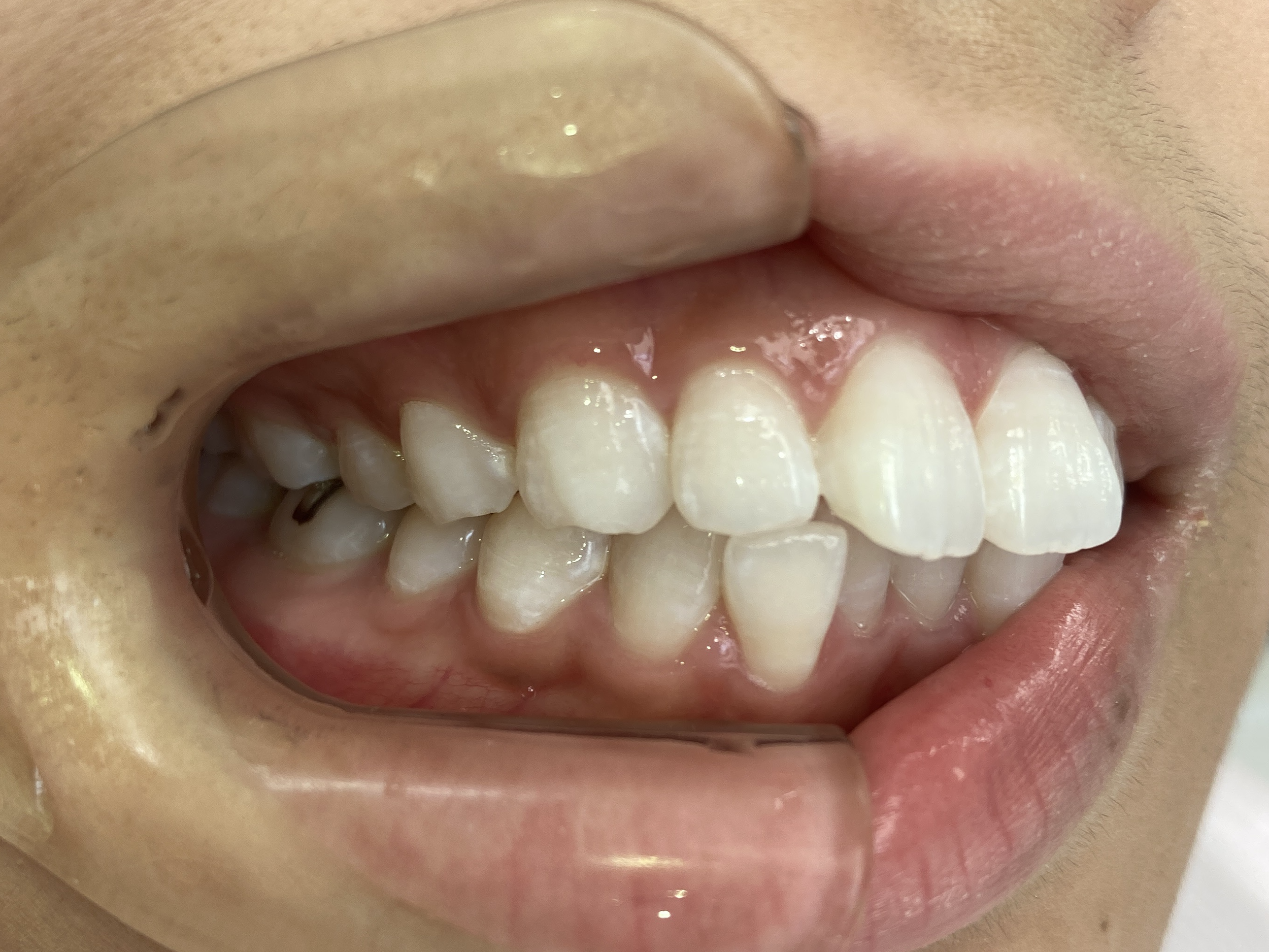
【症例情報】 51歳 男性
(患者さまの背景)上の前歯の突出と下の前歯のズレを長年気にされていましたが、「55万円で解決できるなら安い」と治療を決意されました。
治療内容:マウスピース型矯正装置(インビザライン)
治療期間:4ヶ月 | 通院:7回 費用:55万円(税込・総額、調整料込)
【リスク・副作用】 装着時の痛み・違和感、1日20時間以上の装着必須、知覚過敏、 歯肉退縮、発音障害(一時的)等が生じる場合があります。 ※治療結果には個人差があります。
【未承認医療機器】 インビザラインは薬機法未承認です。米国アライン・テクノロジー社製品を インビザライン・ジャパン株式会社経由で入手。1998年FDA認証取得、 世界100カ国以上、1,500万人超の治療実績(2023年1月時点)。
【症例情報】 27歳 女性
(患者さまの背景)当初、ワイヤー矯正が「痛くなくて安くて早い」と思われており、ワイヤー矯正をご希望でした。インビザラインについてもご説明し、比較検討されました。「歯を抜きたくない」というご希望もあり、矯正専門医院への相談も考えられていましたが、最終的に当院を選んでくださいました。
治療内容:マウスピース型矯正装置(インビザライン)
治療期間:4ヶ月| 通院:7回
費用:55万円(税込・総額、調整料込)
【リスク・副作用】 装着時の痛み・違和感、1日20時間以上の装着必須、知覚過敏、 歯肉退縮、発音障害(一時的)等が生じる場合があります。 ※治療結果には個人差があります。
【未承認医療機器】 インビザラインは薬機法未承認です。米国アライン・テクノロジー社製品を インビザライン・ジャパン株式会社経由で入手。1998年FDA認証取得、 世界100カ国以上、1,500万人超の治療実績(2023年1月時点)。
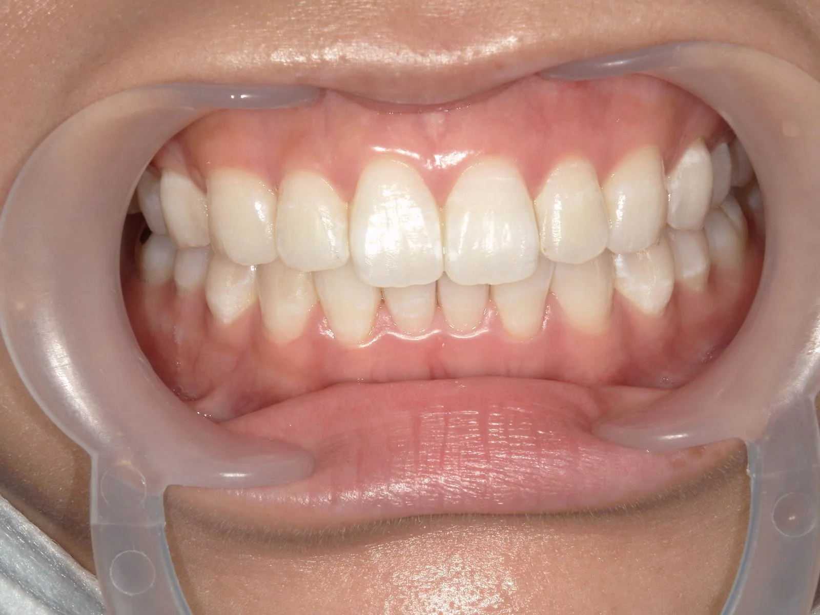
【症例情報】 31歳 女性
(患者さまの背景) 元々別の主訴で当院に来院されていましたが、こちらからお声かけしてシミュレーションを実施しました。その結果をご覧になり、「これならやってみたい」とのことで、当院で矯正治療をスタートすることになりました。
治療内容: マウスピース型矯正装置(インビザライン)
治療期間: 4ヶ月
通院: 17回
費用: 55万円(税込・総額、調整料込)
【リスク・副作用】
装着時の痛み・違和感、1日20時間以上の装着必須、知覚過敏、 歯肉退縮、発音障害(一時的)等が生じる場合があります。 ※治療結果には個人差があります。
【未承認医療機器】
インビザラインは薬機法未承認です。米国アライン・テクノロジー社製品を インビザライン・ジャパン株式会社経由で入手。1998年FDA認証取得、 世界100カ国以上、1,500万人超の治療実績(2023年1月時点)。
【症例情報】 36歳 女性
(患者さまの背景) 歯並びの相談で来院されました。シミュレーションをご覧になった結果、当院で矯正治療をスタートすることになりました。
治療内容: マウスピース型矯正装置(インビザライン)
治療期間: 10ヶ月
通院: 18回
費用: 88万円(税込・総額、調整料込)
【リスク・副作用】
装着時の痛み、違和感、1日20時間以上の装着必須、知覚過敏、 歯肉退縮、発音障害(一時的)等が生じる場合があります。 ※治療結果には個人差があります。
【未承認医療機器】
インビザラインは薬機法未承認です。米国アライン・テクノロジー社製品を インビザライン・ジャパン株式会社経由で入手。1998年FDA認証取得、 世界100カ国以上、1,500万人超の治療実績(2023年1月時点)。
【症例情報】 25歳 女性
(患者さまの背景)上の前歯の大きさや、出ている感じ(突出感)を気にされていました。
治療内容:マウスピース型矯正装置(インビザライン)
治療期間:5ヶ月 | 通院:6回
費用:55万(税込・総額、調整料込)
【リスク・副作用】 装着時の痛み・違和感、1日20時間以上の装着必須、知覚過敏、 歯肉退縮、発音障害(一時的)等が生じる場合があります。
※治療結果には個人差があります。
【未承認医療機器】 インビザラインは薬機法未承認です。米国アライン・テクノロジー社製品を インビザライン・ジャパン株式会社経由で入手。1998年FDA認証取得、 世界100カ国以上、1,500万人超の治療実績(2023年1月時点)。
【症例情報】 45歳 女性
(患者さまの背景)上下の歯並びが気になるとのことで、無料シミュレーションの結果をご覧になり治療を決められました。
治療内容:マウスピース型矯正装置(インビザライン)
治療期間:4ヶ月 | 通院:13回
費用:55万(税込・総額、調整料込)
【リスク・副作用】 装着時の痛み・違和感、1日20時間以上の装着必須、知覚過敏、 歯肉退縮、発音障害(一時的)等が生じる場合があります。 ※治療結果には個人差があります。
【未承認医療機器】 インビザラインは薬機法未承認です。米国アライン・テクノロジー社製品を インビザライン・ジャパン株式会社経由で入手。1998年FDA認証取得、 世界100カ国以上、1,500万人超の治療実績(2023年1月時点)。
【症例情報】 14歳 男性
(患者さまの背景)上の前歯が出ているのと、歯の大きさが気になるとのことでした。
治療内容:マウスピース型矯正装置(インビザライン)
治療期間:1年 | 通院:12回
費用:88万(税込・総額、調整料込)
【リスク・副作用】 装着時の痛み・違和感、1日20時間以上の装着必須、知覚過敏、 歯肉退縮、発音障害(一時的)等が生じる場合があります。
※治療結果には個人差があります。
【未承認医療機器】 インビザラインは薬機法未承認です。米国アライン・テクノロジー社製品を インビザライン・ジャパン株式会社経由で入手。1998年FDA認証取得、 世界100カ国以上、1,500万人超の治療実績(2023年1月時点)。
【症例情報】 26歳 男性
(患者さまの背景)上の前歯が出ているのと、下の前歯がずれているのをなおしたいとのご希望でした。
治療内容:マウスピース型矯正装置(インビザライン)
治療期間:4ヶ月半 | 通院:8回
費用:55万(税込・総額、調整料込)
【リスク・副作用】 装着時の痛み・違和感、1日20時間以上の装着必須、知覚過敏、 歯肉退縮、発音障害(一時的)等が生じる場合があります。
※治療結果には個人差があります。
【未承認医療機器】 インビザラインは薬機法未承認です。米国アライン・テクノロジー社製品を インビザライン・ジャパン株式会社経由で入手。1998年FDA認証取得、 世界100カ国以上、1,500万人超の治療実績(2023年1月時点)。
【症例情報】 24歳 女性
(患者さまの背景)前歯の突出を気にされており、無料シミュレーションの結果をご覧になって治療を決められました。
治療内容:マウスピース型矯正装置(インビザライン)
治療期間:5ヶ月 | 通院:7回
費用:55万(税込・総額、調整料込)
【リスク・副作用】 装着時の痛み・違和感、1日20時間以上の装着必須、知覚過敏、 歯肉退縮、発音障害(一時的)等が生じる場合があります。 ※治療結果には個人差があります。
【未承認医療機器】 インビザラインは薬機法未承認です。米国アライン・テクノロジー社製品を インビザライン・ジャパン株式会社経由で入手。1998年FDA認証取得、 世界100カ国以上、1,500万人超の治療実績(2023年1月時点)。
