小児歯科・口腔機能低下・プレオルソ治療
お子様の健やかな未来のために
おきとう歯科クリニックでは、お子様が健康で自信の持てるお口を維持し、「楽しく、喜びいっぱいの上質で素敵な人生」を送るための基盤作りをサポートすることを目標としています。小児歯科においては、単に虫歯を治すだけでなく、お子様の健やかな成長を支え、生涯にわたる健康の基礎を築くことを大切にしています。
予防重視の考え方
私たちは、日本の歯科事情として「虫歯になったら治せばよい」という考え方がまだ浸透しきっていないことを認識しており、「歯は治療するものから予防するものへ」という考え方のチェンジが必要だと考えています。お子様の頃に身につけた正しい生活習慣は大人になっても続くため、きちんとした習慣の定着が重要です。
虫歯予防において最も有効なのはフッ素の塗布であり、歯質強化や再石灰化、虫歯菌が出す酸の抑制を助けます。当院では、フッ素の効果を最大限に活かすため、定期的(3か月ごと)な塗布をおすすめしており、これは歯医者に通う習慣づけにもつながります。
食習慣に関しては、チョコレートやキャラメルなどの砂糖が多いものや、ポテトチップス、飴などの「ダラダラ食べ」は避け、おやつの回数を1日1〜2回程度にすることが推奨されています。また、歯磨きは乳歯が生え始めたときから始めるべきであり、6才ごろまでは仕上げ磨きをすることが重要です。
口腔機能発達に特化したアプローチ
当院では、お子様の「食べ方」や「口呼吸」といった機能的な問題にも対応しています。未就学児の保護者の約半数以上が子どもの食事について心配を抱えており、これは口腔機能の発達と深く関係していることが分かっています。
口腔内の成長には、「形態(かたち)」と「機能(はたらき)」の2つの要素があり、これらは車の両輪のような関係です。特に、舌が安静時に上あごにしっかり当たっているか(舌の位置)、鼻で呼吸できているか(呼吸)、良い姿勢が保てているか(姿勢)が重要です。舌が常に下の位置にあると、上あごの成長が妨げられる可能性があります。
当院が目指すゴールは、正しい舌の位置の獲得、鼻呼吸の確立、正しい飲み込み方の習得、そして上あごの正常な成長の促進です。
専門的な治療選択肢:
【保険診療】口腔機能管理・機能訓練(MFT) 保険診療では、口腔機能の評価・診断に基づき、**口腔筋機能療法(MFT:口腔筋機能療法)**を行います。これは、舌を正しい位置に保つ練習や、口を閉じる力をつける訓練、正しい飲み込み方の習得など、お子様と保護者の方が一緒になって取り組む訓練です。
【自費診療】プレオルソ プレオルソは、マウスピース型の装置を使って口腔機能の発達をサポートする自費治療です。この装置は、舌を自然と正しい位置(上あご)に誘導し、口唇を閉じやすくしたり、鼻呼吸を促進したりする役割を果たします。プレオルソは、日中1時間程度と就寝時に装着し、保険診療の機能訓練と併用することで、より短期間での改善が期待できる相乗効果があります。
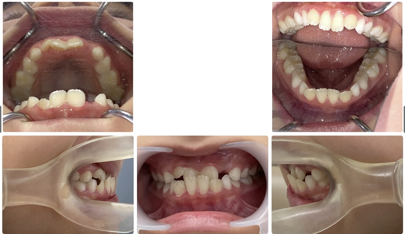
症例紹介:小児矯正(プレオルソ)
患者様情報
7歳6ヶ月 女性
治療内容
プレオルソ(マウスピース型矯正装置)を用いた一期治療 お子様の成長を利用して、お口周りの筋肉のバランスを整え、正しい歯並びと噛み合わせを促す治療法です。
治療期間・回数
期間:3ヶ月 来院回数:3回
費用(自費診療)
80,000円(税抜き) (税込 88,000円)
プレオルソ治療のリスク・副作用(注意事項)
装置の装着時間について プレオルソは取り外し式の装置です。日中1時間と就寝時に正しく装着しないと、十分な治療効果が得られません。お子様本人の協力と保護者の方のサポートが必須となります。
違和感や痛み 使い始めの時期は、装置による違和感や、歯が動く際の痛み、装置が粘膜に当たって痛みが出る場合があります。
治療の限界 プレオルソは骨格の成長を整える治療ですが、歯の重なりが強い場合や顎の骨格的な問題が大きい場合などは、将来的にワイヤー矯正などの二期治療が必要になることがあります。
装置の破損・紛失 取り外し式のため、紛失や、強い力が加わることによる破損の可能性があります。再製作が必要になった場合は、別途費用が発生することがあります。
治療前:反対咬合の状態
下の前歯が上の前歯よりも前に出ている「反対咬合」がはっきりと認められます。このような咬み合わせは、お子さんの成長に伴う顔貌の変化や、将来的な歯並び悪化につながる可能性があります。
プレオルソ使用わずか3ヶ月で、反対咬合が大きく改善されました。上下の咬み合わせが正常な位置に戻り、お子さんの自然な成長をサポートしながら理想的な歯並びへと導くことができています。
プレオルソによる3ヶ月の改善経過
お子さんの柔軟な顎の成長を活かして、夜間の装着だけで反対咬合を改善。歯を動かすのではなく、顎の成長方向を正しい方向へ導く小児矯正治療です。
小さなお子様への配慮
特に4才以下のお子さんについては、歯医者を嫌いにならないようにするために、もし虫歯が見つかっても、治療はなるべく控える方針をとることもあります。
「食べるのが遅い」「いつも口を開けている」「歯並びが心配」など、どんな小さなことでも、まずはお気軽にご相談ください。私たちは、お子様一人ひとりにとって最適な方法をご提案させていただきます。
